Telegraf.rs
Ona
Budi jaka
Moda i lepota
Porodica
Fitnes
Putovanja
Recepti
Dom i dekor
Lifestyle
Horoskop
On
Za ispravno funkcionisanje sajta, molimo Vas aktivirajte Javascript.
Tema: Migrena
Fitnes i zdravlje
Ne krivite sebe ako ste umorni i nervozni: Bioprognoza za 16. april
Autor:
Bojana Paunović
0
0
Fitnes i zdravlje
Subota izgleda idealno, ali organizam reaguje drugačije nego što mislite: Žene u PMS-u će ovo da osete
0
1
Fitnes i zdravlje
Ako ste se jutros probudili umorni bez razloga - telo reaguje na ove brojke
0
4
Fitnes i zdravlje
Ako vam danas "puca" glava i sve vas nervira - niste umislili: Ovo je razlog
0
3
Ona
Marini su godinama govorili da umišlja simptome, a onda je sa 16 godina saznala da joj život visi o koncu
0
4
Fitnes i zdravlje
Dan koji izgleda vedro, ali telo oseća drugačije: Bioprognoza za 3. decembar
0
12
Fitnes i zdravlje
Viralni trik protiv migrene: Žena na glavu stavlja jednu stvar, bol odmah prestaje - neurolozi potvrđuju!
2
0
Fitnes i zdravlje
Napadi toliko jaki da je završavala na podu: Marina otkriva kako izgleda roditeljstvo sa hroničnim migrenama
0
17
Fitnes i zdravlje
Godinama je mislio da ima migrene, a onda je usledio šok: Nakon snimka glave, njegova žena je ostala slomljena
0
3
Fitnes i zdravlje
Ukoliko patite od migrene morate da izbegavate ovo gazirano piće koje naš narod redovno konzumira
0
13
Fitnes i zdravlje
"Ispostavilo se da je moja jednonedeljna glavobolja tumor na mozgu": Imala samo jedan neobičan znak
0
1
Fitnes i zdravlje
Žalio se na glavobolje, a lekari mu rekli da je samo dehidriran: Sada ima rak i još samo godinu dana života
1
187
Fitnes i zdravlje
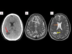
Voleo je da doručkuje prženu slaninicu, a onda su krenule strašne migrene: Vidite šta je pokazao magnet glave
0
19